■診療時間:10:00~13:00 14:30~20:00
■土日~17:30 ■木~18:30 ■休診日:祝日
親知らず
Wisdom Tooth
痛みに配慮した優しい・丁寧な親知らずの治療
親知らずの治療について
必ず抜歯をしなければいけないという事ではないですが、レントゲンにて状態を確認させていただき、その親知らずが今抜かなければ現状の痛みや腫れなどの回復が不可能な場合は抜歯をさせていただきます。
最終的に親知らずの抜歯をする場合は以下のようなことがあげられます。
| 1. | レントゲンや肉眼所見にて第2大臼歯(親知らずの1つ前の歯)の虫歯が親知らずの存在により虫歯になってことが確認できる場合 |
|---|---|
| 2. | レントゲンにて親知らずの周囲組織(歯槽骨や親知らずの根先端の骨周囲)に感染病巣が確認できる場合 |
| 3. | レントゲンにて親知らずがこのまま正しく生えてくるかどうかを確認します。斜めに生えていたり、真横になっていることが確認できる場合 |
親知らずの生え始めなどは親知らずの周囲の歯肉炎を起こしており、その疼痛だけで消炎処置
(周囲組織のクリーニングと消毒のみ)を行い、鎮痛剤と抗生物質で疼痛や腫れが引く場合があります。今後の状態にもよりますが親知らずをすぐ抜かなくてもいいと思われます。
親知らずの抜歯の手順
単純親知らず(真っすぐ親知らずが生えている場合など)
| 1. | 表面麻酔をまず普通の麻酔の前に塗り薬をぬって通常の麻酔がなるべく無痛になるようにします。 |
|---|---|
| 2. | 通常の麻酔を行います |
| 3. | 抜歯後の感染がなるべくでないように抜歯する親知らずの周囲の歯のクリーンングを行います。 |
| 4. | 麻酔の効き目を確認してから親知らずの抜歯を行います。 |
| 5. | 抜歯後に傷口が早くなるように抗生物質の溶けるタブレット錠を入れます。 |
| 6. | 抜歯をされた当日は傷口からの出血や痛みが出る場合があるので、運度や熱いお風呂の長湯、飲酒をされないでいただきます。 |
| 7. | 次の日にこられる患者様は傷口のチェックと消毒を行います。 |
複雑な親知らずの場合
基本的な手順は上記の単純な親知らずの抜歯の時と同じですが、歯茎の切開や骨の削除、縫合なが必要なオペとなりますので、詳細は担当医より説明をさせていただきます。
個人差はありますが当院にて歯科口腔外科の専門医がいるためほとんどのオペは当院などで行っております。
ただし安全を期すためにオペが難しい場合、全身疾患などにより医科との連携が不可欠な場合は専門の総合病院や歯科大学の口腔外科にご紹介させていただく事があります。
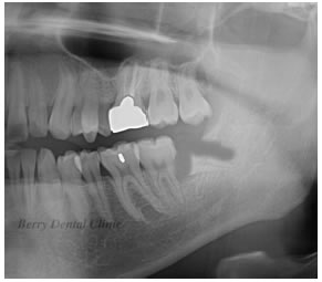
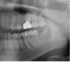
親知らずの抜歯 治療例
親知らずの抜歯も消炎処置をしても治癒しない場合は処置を行います。
左の実際のお口の中の画像ように親知らずが横になっている為プラークがたまりやすく親知らずの前の歯も虫歯になっています。
舌の2枚の画像はそのレントゲン画像で、左側はピンク色の歯ぐきを入れて加工しています。
右の画像のように歯ぐき画像のピンク色の部分を除去すると矢印の部分の親知らずの前の歯に黒い画像があり、それが虫歯になっている事を示します。
そのまま放置しているかぎり虫歯の歯の治療ができなので、抜歯になります。
親知らずの抜歯
親知らずの抜歯には不安があるかと思われますが、この方法だと安全に処置が行えます。
親知らずの抜歯の手順について
局部麻酔(伝達麻酔と浸潤麻酔)を施します。
親知らずを1、2、3、と番号順にカットしていきます。
順番に取り除いていきます。
この画像では1の部分を取り除きました。
この画像では2の部分を取り除きました。
この画像では慎重に3の部分取り除きました。
約3ヶ月から6ヶ月後にはこの画像のように骨も綺麗に再生させれてきます。
痛みに配慮した親知らずの抜歯を行っております
親知らず担当:久保 庄九郎
当院では痛みに配慮した治療を行っております。
歯医者が苦手な人にも安心して治療を受けて頂けるようにカウンセリング、治療説明に力を入れております。
親知らずのお悩みをお気軽にご相談下さい。
また、他院で抜歯を断られた方もぜひご相談下さい。
親知らずの治療・抜歯のご相談は
047-409-7717 までお気軽にご連絡下さい











