■診療時間:10:00~13:00 14:30~20:00
■土日~17:30 ■木~18:30 ■休診日:祝日
審美歯科
Esthetics
審美歯科
歯科保険では治療に使われる材料に制限があるため耐久性、審美性、予防性、機能性の4つの条件が治療法によっては残念ながら不足しております。下の画像のように4つの条件をそろえて治療するのが審美歯科治療の目的です。

審美性、予防性、機能性、耐久性、の4本柱すべてがしっかりとしていければ、その上に重いテーブルの板を載せても、崩れないで完全に安定している状態を保つことができるのです。
歯の治療では特にこの柱に例えられた4つの要素が最大限に安定している事が維持予防に不可欠です。1本の柱のみ重要に考えても、つまり1本の柱だけが長くても上に載せるテーブルは安定させる事はできませんし、4つの柱が互いに同じ長さで初めてテーブル(お口の中の環境が維持される)が安定できるのです。
保険で使用される銀歯は銀含有率が47%とほぼ半分くらいが銀で出来ている合金です。
その銀を使用しないで、金合金でやプラチナなどの合金を使用したり、金属アレルギーの患者様には金属をいっさい使用しないオールセラミックやジルコニアと呼ばれる材質を使用して治療さしていただいております。
下の画像は上記の材質を使用して作成された人工物です。

下の画像は保険で使用される銀歯治療と実際のお口の中の症例です。

審美性はもちろん、耐久性(銀歯の内面が変形や腐食しやすい)が悪いため、歯根の露出や人工物の変色、変形が認められて噛み合わせが悪くなっています。そして何よりもやり直しの再治療の際にさらに歯を削らなくてはいけない状態が多いことです。それによって同じ治療方法で治療できないない事があり、別の治療方法(入れ歯や人工物の設計が増えるなど)になる事もあります。
治療例
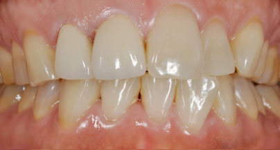
下の画像は実際に審美治療を金合金(金含有率87%)をベースにセラミックを上に付着させて人工物をかぶせた症例です。
治療例1
金合金のフレームを試適して、セラミックを上に付着させるので、その患者さんの歯の色合わせを行います。

自然な感じでセラミックの人工物がセットされました。セラミックはプラークと呼ばれる汚れがほとんど付かないので、色の変色はありませんが歯周組織に関しましては定期的に予防歯科の受診をすることで、より綺麗で健康な歯ぐきの上にセラミックを保つことができます。

治療例 2
下の画像のように小さい銀歯の人工物からセラミック系の修復物も取り扱っております。


上の画像のセラミックインレーを試適しています。
色や厚み等検査してから問題ないようでしたら次回セラミックインレーをセットします。

セラミックインレーをセットしました。
自然な色調で人工物とはわかりません。
噛み合わせがとても大切なので、今後も定期的に予防歯科と平行して噛み合わせのチェックも行いできるだけ長くもつようにチェックしていきます。
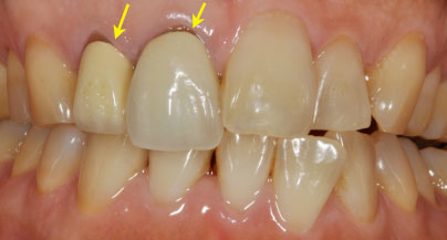
治療例 3

画像の患者様は歯の色と矢印で示された差し歯の色と適合の改善を希望されていました。
最初に約10日間のホワイトニングをして歯の色を改善しました。
次に差し歯の交換を変化した綺麗な歯の色に合わせて交換しました。
全体として約3週間くらいで治療が完了致しました。


とても自然な仕上がりになりました。
定期的にチェックと歯面の清掃を細かく行う事によってホワイトニングの持続力が長続きいたします。











