■診療時間:10:00~13:00 14:30~20:00
■土日~17:30 ■木~18:30 ■休診日:祝日
入れ歯(義歯)
Denture
入れ歯について
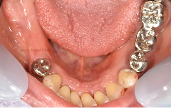
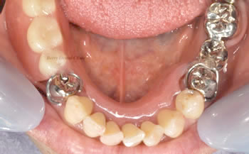
入れ歯(義歯)治療は歯の欠損部に下の画像のような人工物を作成して装着します。

義歯作成の工程
義歯作成には患者様の状態にもよりますが
1 お口の状態の診査
2 お口の型取り
3 噛み合わせの記録
4 試適
5 完成
6 調整(食事指導や使用方法など)
の行程で作成しております。
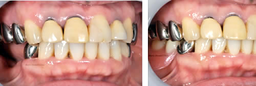
治療例
義歯作成の行程基準の1例です(保険適応)
1. まず患者さんのお口の診査を行います。

入れ歯の作成する為の設計や手順を患者さんと一緒にお話をしていきます。
そしてお口の型取りも行います。

2. 咬合床の作成
次にお口の模型に作成された咬合床(噛み合わせの記録をするための仮の入れ歯)を作成します。
そしてその咬合床を使って噛み合わせの記録をとります。

3. 義歯装着のチェック

最終的に完成された義歯を装着してチェックします。
4. 最終確認
食事指導や使用方法等を出来上がってからもチェックします。そして痛みがないかを確認して調整していきます。

当院ではお口のかたどりに使用する型取り材料を人間の手ではなく、真空練和機械を使用して正確な模型を作製する事により、人工物をより精密に作成させる事ができます。
そのため完成後の調整も少なくなるような入れ歯を作成する事に努めています。
治療例
バルプラスト義歯(保険適応外)
保険の義歯ではどうしても使用材料に制限があります。
そのため本来患者さんの望まれるような義歯がなかなか作成できないことがあります。
また部分義歯とよばれるものは歯にかけるバネがあるため、審美性はもちろんですが、残っている歯にもこのバネの負担は大きく長年使用しているとバネのかかっている歯の失ってしまう事もあり、負の部分もあります。

それに対して開発されたバルプラストと呼ばれる義歯は
1 ピンクの部分使用されている樹脂が特殊で保険の樹脂とは違い柔らかく粘膜や残っている歯にかかる負担がかなり少なくて済みます。何よりも薄く作成できるので喜ばれています。
2 保険義歯で使用されるバネの金具がなく特殊な樹脂でそのまま作成されているため、やはり残っている歯の負担はもちろん審美的にも大変満足されています。
バルプラスト義歯作成に関しましては個人個人お口の状態が違いますので、適応できない場合もございますので、詳しくは担当歯科医師にご相談ください。
治療例
金属床義歯(保険適応外)
保険の義歯ではどうしても使用材料に制限があります。金属床と呼ばれる義歯は小部分が金属でできているため、大変丈夫で保険の義歯と比べると6、7倍薄くできているので、とても違和感が少なくてすみます。当院では金属床義歯には3種類を用意しています。

1 コバルトクロム義歯
人工関節に用いられる強さと生体親和性をもつポピュラーな金属を使用した金属床義歯です。
ロケットエンジンやジェットエンジン等で使用されている丈夫な金属です
2 チタン床義歯
金属アレルギーを徹底的に排除し、安定した強度をもつ高機能の金属床義歯です。
ジェット機の機体やゴルフクラブ等で利用されています。
3 ゴールド床義歯
口腔内で粘膜の色と調和する金色と適切な弾力が得られる金属床義歯です。
金は医療用に昔から利用されており、最も信頼されています。











